产品中心Products Resources
联系我们CONTACT US
-
400 179 0116
24小时服务热线
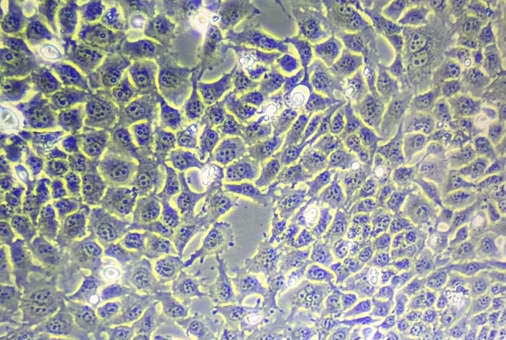
当前位置:首页 > 产品中心(Products) > 细胞株(Cell Lines) > 人源细胞株(Human Cell Lines) > 其他(Others Line) > HTR8人绒毛膜滋养层细胞
产品描述/Products Description
资料下载
相关产品
| 货号 | 产品名称 | 规格 | 价格 |
|---|---|---|---|
| MD0200 | RPMI-1640基础培养基 | 500ml@500ml-NG Free | ¥58.00@65.00 |
| SD0100 | FBS胎牛血清(国产特级) | 500ml@100ml | ¥2950.00@620.00 |
| SD0038 | G/A 庆大霉素-两性霉素B混合溶液(100x) | 100ml@50ml@5ml | ¥76.00@46.00@26.00 |
| MD0201 | RPMI-1640完全培养基 | 500ml@500ml-无糖@100ml | ¥420.00@460.00@96.00 |
| SD0200 | 胎牛血清FBS(优选特级) | 500ml@100ml@25ML@10ml | ¥4960.00@1250.00@280.00@160.00 |
| SD0002 | 免程序降温细胞冻存液( 无血清/蛋白) | 50ml | ¥298 |






